
看牙医本思搞定牙痛,谁料一根用于根管休养的小小锉针,竟未必掉入气管。
3月6日下昼,广西北海别称69岁男人因牙痛赶赴北海某口腔诊所接管休养。休养时,大夫失慎将一根用于开放、清算根管休养的机扩针(机用小锉针)掉进患者口腔里,异物经口腔误入气管,Dafabet男人受到刺激当即咳嗽不啻。


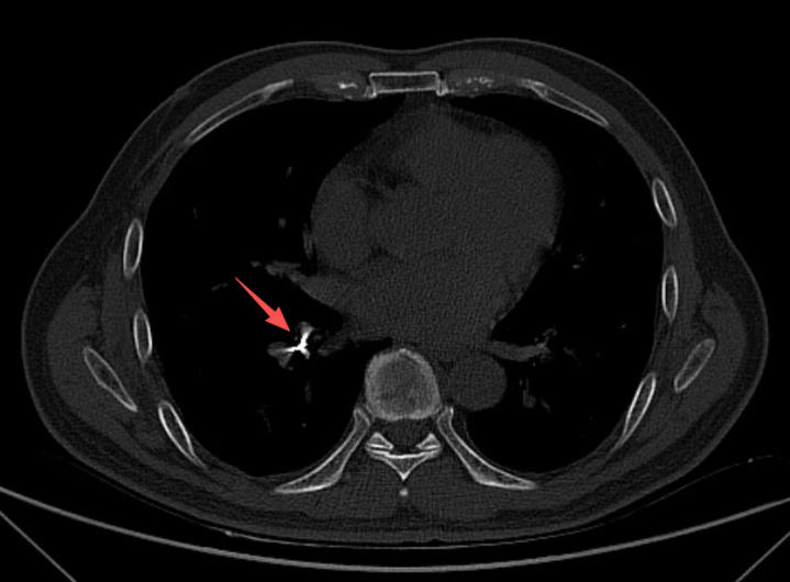
随后,诊所牙医随同男人到北海市东谈主民病院就诊,经CT查验,在患者右下肺支气管内发现存异物存留,便要害收入呼吸与危重症医学科病房。
病房接诊后,凤凰彩票官网首页病院立即首先急诊救治经由。医疗团队为患者取出异物,
经证据,取出的异物恰是用于根管休养的机扩针,长约2厘米,针的一头圆滑、一头细长而厉害。
“辛亏是圆滑的一头朝下滑进气管,整个滑到支气管莫得形成未必损害。”过后,大夫暗意。
术后查验证据,异物未对患者气谈及肺部形成出奇损害,患者人命体征清静。经过妥善不雅察休养凤凰彩票,患者次日康复出院。